Storitve

Preventiva in zdravljenje kariesa, vnetja dlesni in parodontalne bolezni

  • Screenshot 2020-09-17 at 16.39.34.png
  • Barbarič.001.jpeg
  • DSC_3307 (1).jpg

99 % pacientov potrebuje 

profesionalno čiščenje zob

individualni poduk o ustni higieni in demonstracijo 

kontrole higiene

redne kontrolne preglede

Do nabiranja zobnih oblog pride zaradi nepravilne ustne higiene in/ali nepravilne prehrane. Zobne obloge so z bakterijami bogati ostanki hrane, ki povzročajo: vnetje in krvavitev dlesni, umikanje in odstopanje dlesni, parodontalno bolezen ("parodontoza"), karies (zobna gniloba), vnetje zobnega živca ("granulom"), bolečine, otekline in žal tudi izgubo zob. Posledicam vedno sledijo posegi, včasih tudi komplikacije in druge nevšečnosti.


Vsem pacientom, ki se želijo temu izogniti, izdelamo individualni plan preventive.

85% pacientov doseže ustrezen nivo ustne higiene.


Namen individualnega pristopa je dvigniti vaš nivo znanja, veščin, motiviranosti in discipline, da ohranite zdrave dlesni, zobe in usta. 

Po čiščenju zob dobite potrebne pripomočke za ustno higieno in demonstracijo pravilne uporabe.

Sledijo kontrole uspešnosti ustne higiene na katerih merimo uspešnost, svetujemo morebitne izboljšave in nadaljne preventivne obiske.  


Učinkovito preprečujemo in zdravimo parodontalno bolezen, ki ima vpliv na zdravje celotnega telesa in je med glavnimi vzroki za izgubo zob.


Zalivke


  • Untitled 2.002.jpeg
  • Stran.001.jpeg
  • Virant - inlay in zalivka.001.jpeg
  • Zalivka zgornja enka.001.jpeg
  • Untitled.001.jpeg
  • Indirektne zalivke.001.jpeg
  • Untitled.003.jpeg
  • Untitled 7.002.jpeg
  • PLOMBA.001.jpeg
  • Untitled.005.jpeg
  • stran.001.jpeg


Princip izdelave belih/kompozitnih zalivk temelji na adheziji ali poenostavljeno na lepljenju.


Boljši nadzor nad suhostjo in čistostjo delovnega področja omogoča boljšo kvaliteto "lepljenja" zalivk in več fokusa na dizajnu zalivke glede na njeno funkcijo.

​​​​​​​

Z ustrezno izolacijo zob (koferdamin povečavo kirurških lup dosežemo natančno izdelane trajnejše  zalivke, boljše žvečenje in lažje čiščenje. 

Omogočili vam bomo spremljanje funkcionalne in estetske obnove s profesionalnimi fotografijami.  




Zdravljenje zobnih korenin - endodontija


  • Screenshot 2019-11-03 at 14.15.42.png
  • rtg.001.jpeg
  • ENDO STRAN 111.001.jpeg
  • Untitled.001.jpeg
  • RTG STRAN.001.jpeg
  • ENDO STRAN.001.jpeg

Najpogostejši vzroki za zdravljenje zobnih korenin so globok karies in ponavljajoči se posegi na zobeh, sledijo poškodbe in udarci.

Najpogostejši simptomi in znaki vnetja zobnih korenin ali granuloma: konstantno/občasno prisotna relativno ali zelo močna bolečina, ki se pojavi sama od sebe in/ali se pojavi/ojača pri grizenju hrane, na toplo/hladno/sladko. Lahko je prisotna tudi oteklina in/ali fistula oz. gnojni izcedek na dlesni nad koreninami. Vnetje korenin pogosto poteka tudi brez znakov in simptomov, zato so redni kontrolni pregledi zelo pomembni.  

Pred začetkom zdravljenja zobnih korenin je potrebno narediti rentgenski posnetek prizadetega zoba. Včasih je potreben tudi 3D posnetek.

Takoj po zaključenem zdravljenju je potrebno narediti rentgenski posnetek in oceniti uspešnost posega. 

V času do enega leta od zaključenega zdravljenja je potrebno narediti še kontrolni rentgenski posnetek, da se oceni uspešnost koreninskega zdravljenja. Z ustrezno dokončno oskrbo zoba in dobro ustno higieno večina takšnih zob služi doživljensko.


Protetika in implantologija


  • Untitled 2.001.jpeg
  • Untitled.001.jpeg
  • Lempl.002.jpeg
  • Screen Shot 2017-12-21 at 16.37.57.png
  • Screenshot 2019-11-03 at 15.15.48.png
  • Screenshot 2020-06-06 at 08.53.16.png
  • Screenshot 2019-11-03 at 15.13.12.png
  • Screenshot 2019-11-03 at 15.14.38.png
  • železnik.001.jpeg
  • Untitled.001.jpeg
  • Screenshot 2019-11-03 at 15.16.51.png



Za protetično zdravljenje se odločimo kadar obstajata potreba in želja po izboljšanju funkcije in videza zob, nasmeha in obraza.

Pri načrtovanju protetičnega zdravljenja sprednjih zob lahko naredimo simulacijo končnega stanja z začasnimi prevlekami na zobeh oz. ​​​​​​​wax-up in mock-up. Tako na sebi v živo vidite simulacijo končnega stanja in imate čas, da razmislite ali bi želeli kaj drugače. To simulacijo končnega stanja lahko imate na zobeh tudi doma, saj so mnenja in povratne informacije od bližnjih zelo koristne.




Estetska obnova nasmeha s kompozitnimi luskami


Estetsko obnovo nasmeha lahko naredimo tudi s kompozitnimi luskami. Na podlagi analize obraza, nasmeha, položaja, barve in oblike zob najprej naredimo simulacijo končnega stanja (wax-up), ki jo pred začetkom dela vidite na sebi v živo (mock-up​​​​​​​). Če ste s simulacijo in videzom zadovoljni, potem sledi samo še izdelava kompozitnih lusk. Narejene so v enem obisku z metodo vbrizganja kompozita na intaktne, nebrušene zobe.  



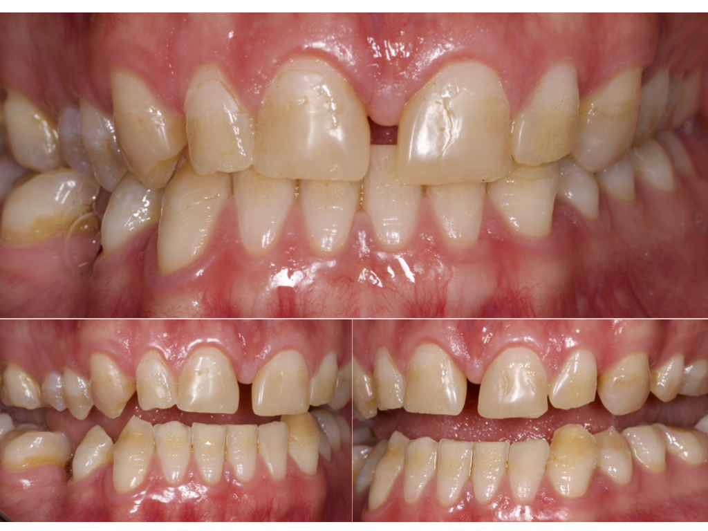
             Nevidni ortodontski zobni aparat Clear Aligner


  • ClearSmile.001.jpeg
  • PEZ IRIS PREJ POTEM.005.jpeg
  • PEZ IRIS PREJ POTEM.006.jpeg

    - so snemljivi, skoraj nevidni in cenovno dostopni zobni aparati v obliki folij, ki se prilegajo vašim zobem


   - folije menjavate na približno 10 dni, zdravljenje traja v večini primerov od 6 do 16 tednov


   - folije nosite 22 ur ali več na dan, snamete jih le med obroki in izvajanjem higijene zob


   - Clearsmile Aligner nudijo hitro in natančno pozicioniranje sprednjih 6 do 8 zob, ki so nagnjeni, rotirani, premaknjeni naprej ali nazaj


   - pred zdravljenjem se izdela računalniška simulacija premika zob v željeni položaj


   - po končanem zdravljenju se izdela retencijo, ki zobe obdrži v novem položaju